Ubicado en la plaza Espacio Interlomas, Av. Jesús del Monte 37-2do Piso, edo mex.
Teléfono 55 4494 9893

Oftalmología Espacio Interlomas
En Oftalmología Espacio Interlomas y su personal médico, tendrás una evaluación oftalmológica integral y completa, así como una atención cálida y humana. Preservando, cuidando o curando el órgano de los sentidos más importantes para el ser humano: LA VISTA
Atención oftalmológica especializada para toda la familia en Interlomas
Contamos con consultas entre semana y en fines de semana
Conócenos mejor
En Oftalmología Espacio Interlomas contamos con un consultorio oftalmológico integral, que nos permite la evaluación completa del globo ocular y de los párpados anexos en caso de una Consulta de rutina o Emergencia. Así como permitirnos graduar los mejores lentes de armazón para cada paciente según sus necesidades.
Nos sentimos orgullosos por poder brindarle la atención a todo público, desde lactantes, niños, adultos y pacientes mayores, dándoles un diagnóstico preciso y certero.


Nuestros doctores
Los doctores Quiroz ofrecen atención especializada en oftalmología para toda la familia, con las sub-especialidades en cataratas, córnea, cirugía refractiva y patología de retina.
Médico Cirujano egresado de la Universidad Anáhuac México Norte
Médico Oftalmólogo egresado de la Universidad Nacional Autónoma de México por parte del Instituto Conde de Valenciana
Alta especialidad médico-quirúrgica en patología de Retina y Vítreo egresado del Hospital Militar de Especialidades Oftalmológicas (SEDENA)
Certificado por el consejo mexicano de oftalmología
Miembro de sociedades médicas:
Asociación médica del Centro ABC
Láser Ocular Lomas
Sociedad Mexicana de Oftalmología (SMO)
American Society of Retina Specialists (ASRS)
American Society of Cataract and Refractive Surgery (ASCRS)
American Academy of Ophthalmology (AAO)
Visual Snow Initiative
Actualmente ejerciendo como médico oftalmólogo en medio particular, con basta maestría en patología vítreo retiniana, microcirugía de catarata y refractiva, además de contar con gran experiencia en el manejo médico de múltiples enfermedades médicas, como degeneración macular, tamiz neonatal y valoración en el área de oftalmopediatría, así como enfermedades como glaucoma y trastornos neuorólgicos como el visual snow syndrome.
Dr. Erick Quiroz
Médico Cirujano egresado de la Universidad Anáhuac México Norte
Médico Oftalmólogo egresado de la Universidad Nacional Autónoma de México
Alta especialidad en Córnea, Cirugía Refractiva y Trasplantes egresado de la Universidad Nacional Autónoma de México
Certificado por el consejo mexicano de oftalmología
Miembro de sociedades médicas:
Asociación médica del Centro ABC
Láser Ocular Lomas
Sociedad Mexicana de Oftalmología (SMO)
American Society of Retina Specialists (ASRS)
Association for Research in Vision and Ophthalmology (ARVO)
American Society of Cataract and Refractive Surgery (ASCRS)
American Academy of Ophthalmology (AAO)
Actualmente ejerciendo como médico facultativo en el medio particular, con alta experiencia en patología a nivel corneal, desde tratamiento de alteraciones refractivas, hasta la práctica de trasplante de córnea. Contando con una basta experiencia en el manejo de miopía, hipermetropía y astigmatismo con el fin de realizar cirugía refractiva y lograr una independencia de las gafas.
Dr. Miguel Quiroz
























Ubicación
Nuestro consultorio se encuentra ubicado en Espacio Interlomas, Av. Jesús del Monte 37-2do Piso, Jesus del Monte, 52764 Ciudad de México, Méx.
Dar clic aquí para google maps
Horario de Atención
Lunes a Viernes de 8:00 a 20:00
Sábado y Domingos de 8:00 a 20:00
Atención de Urgencias el mismo día
¡Requiere agendar cita previamente!
Dar clic aquí
Teléfono
55 4494 9893
Nuestros conocimientos
Orzuelos o "Perrillas"
Se trata de una inflamación de las glándulas de Meibomio que se encuentran a nivel del borde del párpado de forma interna o externa, requiriendo de un manejo con antibiótico y esteroide, y en casos más avanzados de un curetaje.






Pterigión o "Carnosidad"
Proliferación fibrovascular sobre la córnea, que sale por herencia genética, exposición al sol o polvo, dicho trastorno se puede manejar con gotas o en caso de cuestión estética realizarse una resección
Catarata
Causa más común de baja visual reversible, ocurre como parte normal del envejecimiento, siendo más rápida en los pacientes diabéticos. Actualmente solo se puede tratar por medio de cirugía para colocar un lente intraocular.
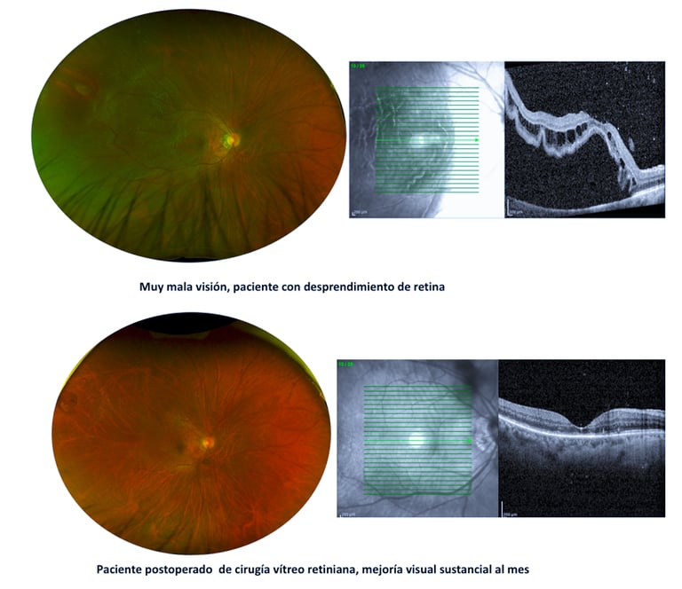
Desprendimiento de retina
Causa grave de baja visual indolora, ocurre de forma aguda, con manchas o moscas volantes en la visión, flashes de luz, una cortina que tapa la visión o simplemente baja visual. Ocurre en cualquier paciente, siendo más común en miopes o posterior a traumatismos.
Requiere atención inmediata por medio de cirugía o con la aplicación de láser para la retina.
Vídeo de cirugía de desprendimiento de retina
En conjunto a cirugía de catarata se puede realiza un procedimiento llamado vitrectomía con el fin de eliminar el vítreo y poder pegar la retina, para posteriormente aplicar láser. Todo esto se realiza por medio de microcirugía con la mayor tecnología actualmente.


Vídeo de cirugía de catarata
Se realiza un procedimiento muy seguro llamado facoemulsificación, donde por medio de una microincisión se coloca un ultrasonido que rompe la catarata y nos permite colocar un lente intraocular, que puede ser Premium para permitir una visión lejana y cercana sin gafas.
Contacto
Coméntenos si es que tiene duda acerca de algún padecimiento oftalmológico, diagnóstico o manejo.
Escríbanos si es que presenta alguna URGENCIA vía WhatsApp y reciba asistencia el día de hoy
Dar clic aquí
Teléfono
55 4494 9893
Contacto
Horario de atención
Lunes a Viernes de 8:00 - 20:00
Sábado y Domingo de 8:00 - 20:00
Agendar cita previamente
Teléfono
+52 55 4494 9893
Correo electrónico
0709quiroz@gmail.com
Aviso de publicidad Cofepris: 2515062002A00098
© 2025. All rights reserved.
Ubicación
Espacio Interlomas, Av. Jesús del Monte 37-2do Piso, Jesús del Monte, 52764 Ciudad de México, Méx.
Agende cita o solicite información vía WhatsApp
Dar clic aquí
Dar clic aquí para google maps
Siga nuestro canal de Youtube y ve nuestro perfil de Google
Dar clic aquí
